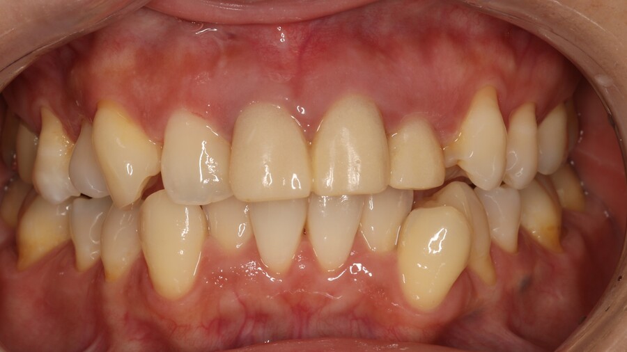
審美治療の治療例 2026.01.12 前歯の審美治療 治療前 治療中(仮歯) 治療後 担当医 貴志 文哉 主訴 前歯をきれいにしたい 期間 2ヵ月 費用 495,000円 治療内容 矢印に示す3本の前歯について、かぶせ物の形態の不自然さが気になるため、治療をご希望されました。 仮歯にて歯の形態をよく相談した上で、最終的なかぶせ物(ジルコニアセラミッククラウン)を製作しました。 治療に伴うリスク あくまで人工物なので、強い噛みしめや無理な使用方法によって割れたり取れてしまったりする可能性があります。 関連症例