審美治療
最高に美しい笑顔を
作るために
審美治療とはどのような治療?
美しさに焦点をあてた
総合的な歯科治療
単に歯をきれいにするだけでなく、虫歯や歯周病、咬合の治療など、通常の歯科で行っている治療に
「美しさ」という視点をプラスした治療を行います。
審美治療の治療法には、
「ホワイトニングによる治療法」と「矯正」と「被せ物」によるものなど種類があります。
見た目だけよくしてもその歯が永続的にもつかどうかは別問題です。
機能的な問題が非常に大切になってきますのでまずは一度検査にいらしてください。
当院では患者様のご要望に応じてより
耐久性が高く審美性に優れた技工物を利用した治療も行っております。
こんな方におすすめ
- 歯を白くしたい
- 歯並びを美しくしたい
- 詰め物や被せ物をより自然に見せたい
審美治療被せ物の材質について
ジルコニアセラミック
| 特徴 | ジルコニアという生体親和性の良い、頑丈な材質をフレームとして使用し、その上にセラミックス(陶材)を焼き付けています。生体親和性が良いですし、頑丈で見た目も優れている被せ物です。 |
|---|---|
| 使用する箇所 | 前歯のロングブリッジや臼歯でのブリッジに使用されることが多いです。 |
オールセラミックス(e-max)
| 特徴 | e-maxという硬いフレームを使用して陶材を焼き付けています。 強度も審美的にも優れています。 ジルコニアやメタルセラミックスと比較すると審美的には優れています一方で強度が少し劣ります。 |
|---|---|
| 使用する箇所 | 主に前歯、臼歯の単冠に使用します。 |
オールジルコニア
| 特徴 | ジルコニアという生体親和性の良い材質を使用しています。硬くて強度に優れています、ただオールセラミックス、ジルコニアセラミックスと比較するとジルコニアが白い分少し白っぽく仕上がる可能性があります。 |
|---|---|
| 使用する箇所 | 主に臼歯に使用します。単冠、Brとも可能。 |
メタルセラミック
| 特徴 | セラミックスが使用され始めた当初からあるフレーム形態です。 メタルフレームなので強度もあり色味も天然の歯に近いです。 ただメタルのフレームがある分オールセラミックスと比較すると透明度が少しだけ劣ります。 |
|---|---|
| 使用する箇所 | 全ての部位で使用します。 |
ゴールド
| 特徴 | 昔からある歯科の材料です。ゴールドは軟らかいので延びる性質があります。 少し適合が甘くてもなじんでフィットしていきます。 非常に適合に優れている反面金属色なので見た目は良くないです。 |
|---|---|
| 使用する箇所 | 臼歯の見えにくい部位に使用します。 |
Pd
| 特徴 | 昔からある保険の材料です。 |
|---|---|
| 使用する箇所 | 保険の詰め物、被せ物に使用します。 |
ラミネートベニア
歯の表面に薄いセラミックスを
張り付ける処置
歯を一層削る場合もありますし、削らずにそのまま張り付ける場合もあります。最終的な見た目の形態によって変わってきます。
審美的に色を変えたい方や形を変えたい方はおすすめします。
現在MIといってあまり歯を削らないのが主体になってきていますのでメリットとしてはあまり歯を削らずに形や色を変える事が出来ることです。デメリットとしては薄いセラミックスを張り付けるので
強い力が加わるとチップしたり割れる危険性があることです。
審美的に色を変えたい方や形を変えたい方はおすすめします。正中理解や捻転歯や前歯を少し前に出したいかたにお勧めです。
材質それぞれの
特徴について
白い被せ物
ジルコニアセラミックスクラウン
| ポイント | 健康的な美しさ |
|---|---|
| 長所・短所 | 白いジルコニアという硬いフレームで構成されていますので強度と審美に優れています。 ただオールセラミックスと比較すると少し白っぽいです。 |
| 美しさ | ★★★★ |
|---|---|
| 耐久性 | ★★★★ |
| 清潔性 | ★★★★★ |
| 適合性 | ★★★★★ |
オールセラミッククラウン
| ポイント | ・透明感のある ・天然歯のような ・美しさ |
|---|---|
| 長所・短所 | 金属の裏打ちがなく光が 透過するので、より透明感の ある歯になります。 しかし長いBrには使用不可。 |
| 美しさ | ★★★★ |
|---|---|
| 耐久性 | ★★★ |
| 清潔性 | ★★★★★ |
| 適合性 | ★★★★ |
オールジルコニア
| ポイント | 見た目を改善 |
|---|---|
| 長所・短所 | 全てジルコニアです。白い歯になります。 強度は金属並みに非常に優れています。 |
| 美しさ | ★★ |
|---|---|
| 耐久性 | ★★★★★ |
| 清潔性 | ★★★★★ |
| 適合性 | ★★★★ |
金属
ゴールドクラウン
| ポイント | 見た目は金属だが 適合性にとても優れている |
|---|---|
| 長所・短所 | 見た目はメタル色になりますがゴールドの延びる性質がありますので 適合に優れています。 |
| 耐久性 | ★★★★★ |
|---|---|
| 清潔性 | ★★ |
| 適合性 | ★★★★★ |
パラジウムクラウン
| ポイント | 見た目は金属 |
|---|---|
| 長所・短所 | 保険と同じ材質 |
| 耐久性 | ★★★★★ |
|---|---|
| 清潔性 | ★★ |
| 適合性 | ★★ |
治療に伴うリスク
破折、色調の再現に限界があります。
審美治療の症例
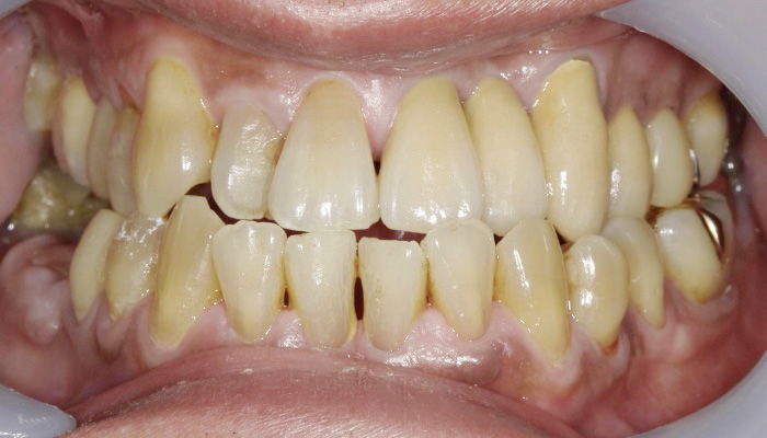
症例 1
治療前
治療後
| 主訴 | 前歯をきれいにしたい |
|---|---|
| 先生からの提案 (治療内容について) |
全体的に歯の色が変色しています。もし全体的に白くするならホワイトニング、矯正、ラミネートべニアの治療が必要と説明しました。 患者さんと相談の上、今の歯にあわせる自然美を希望されました。 |
| 治療期間 | 1か月 |
| 治療費 | 165,000円 |
| 治療のリスク | セラミックスの欠けは起こる可能性がある。 |
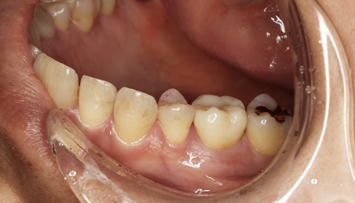
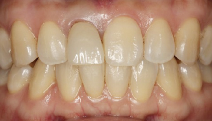
症例 2
治療前
治療後
| 主訴 | 前歯が痛い |
|---|---|
| 先生からの提案 (治療内容について) |
咬合によって左上2番が痛み、神経まで達する症状でした。 根管治療を行い、他の前歯も気になるとのことだったので右上の3番から左上の 2番まで前歯をセラミックスの被せ物を装着しました。 |
| 治療期間 | 3か月 |
| 治療費 | 815,000円 |
| 治療のリスク | 咬合によって神経が死んでいるので今後歯根破折のリスクがある。 |
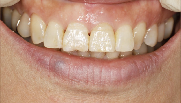
症例 3
治療前
治療後
| 主訴 | 左下の前歯が痛い |
|---|---|
| 先生からの提案 (治療内容について) |
左下2番は咬合と歯周病でぐらぐらだったので抜歯を行い、仮歯を製作後、左下1、2、3番にセラミックスのブリッジを装着しました。 |
| 治療期間 | 2か月 |
| 治療費 | 450,000円 |
| 治療のリスク | セラミックスの欠けは起こる可能性がある。 |
症例 4
治療前
治療後
| 主訴 | 右上の1番が脱離した |
|---|---|
| 先生からの提案 (治療内容について) |
右上1番の歯が、虫歯で土台ごと脱離していた。虫歯治療、根管治療後土台を立てて、セラミックスの被せ物を装着しました。 |
| 治療期間 | 2か月 |
| 治療費 | 165,000円 |
| 治療のリスク | 歯質が薄く、亀裂も少しあったので歯根破折のリスクがある。 |
症例 5
治療前
治療後
完成補綴
| 主訴 | 歯が欠けた |
|---|---|
| 先生からの提案 (治療内容について) |
右上の3番、4番が 虫歯で歯質が薄く、欠けている状態でした。 虫歯治療と根管治療を行い、セラミックスの被せ物を装着しました。 |
| 治療期間 | 2か月 |
| 治療費 | 330,000円 |
| 治療のリスク | 虫歯で歯質が薄いので歯根破折のリスクがある。 |
症例 6
治療前
治療後
| 主訴 | 右上の違和感 |
|---|---|
| 先生からの提案 (治療内容について) |
違和感の原因は右上の6番が神経が死んでいて、根管治療を行いました。 その後仮歯に置き換え、セラミックスの被せ物を装着しました。 |
| 治療期間 | 2か月 |
| 治療費 | 120,000円 |
| 治療のリスク | 神経の失活の原因は咬合によるものなので違和感が残る可能性がある。 |
症例 7
治療前
治療後
| 主訴 | 左上の1番がぐらぐらする |
|---|---|
| 先生からの提案 (治療内容について) |
土台ごと被せ物が折れていたので土台からやり直して、セラミックスの被せ物を装着しました。 前医では誘導のかみ合わせが高く、それが原因で折れたので、かみ合わせをしっかり調整しました。 |
| 治療期間 | 2か月 |
| 治療費 | 105,000円 |
| 治療のリスク | 歯根破折のリスクがある。 |
症例 8
治療前
治療後
| 主訴 | 左上の前歯が黒い |
|---|---|
| 先生からの提案 (治療内容について) |
虫歯が進行していて、神経の処置根管治療を行い、仮歯に置き換えて、セラミックスの被せ物を装着しました。 |
| 治療期間 | 2か月 |
| 治療費 | 165,000円 |
| 治療のリスク | 歯根破折のリスクがある。 |
症例 9
治療前
治療後
| 主訴 | 前歯の見た目を何とかしたい。 |
|---|---|
| 先生からの提案 (治療内容について) |
左上の2番目の歯が口蓋側にあり、1番目のポジションに過剰歯、2番目に1番が存在した。 1番を抜き、口蓋側にある2番を1番に移植して,その後歯肉が退縮しているので歯肉の移植を行い歯肉ラインをそろえて、補綴物を装着。 複雑な症例であったが患者さんは満足して治療終了した。 |
| 治療期間 | 6か月 |
| 治療費 | 355,000円 |
| 治療のリスク | 歯牙、歯肉の移植は生着しない可能性がある。 |
症例 10
治療前
治療後
| 主訴 | 前歯脱離。 |
|---|---|
| 先生からの提案 (治療内容について) |
残ってる歯質が薄いのと歯肉のラインを合わせるためにクラウンレングスニング処置を行い、仮歯で形態を試行錯誤して、歯肉の治りを待ち最終補綴物へ移行した。 |
| 治療期間 | 6か月 |
| 治療費 | 345,000円 |
| 治療のリスク | 残ってる歯質が薄いため再び折れるリスクがある。 |
症例 11
治療前1
治療前2
治療後
| 主訴 | 転倒して歯牙破折。 |
|---|---|
| 先生からの提案 (治療内容について) |
左上1番目の歯牙が横破折していたため歯髄温存処置を行い、接着していた。 経過観察を行おうとしたが、患者の来院が途絶え、再び痛みで来院したときには固定も外れ、神経が死んでいた。根管治療を行い、左上1本のみ被せものを装着した。 |
| 治療期間 | 3か月 |
| 治療費 | 150,000円 |
| 治療のリスク | もともと捻転して前に出ている歯なので反対にそろえるのは限界がある。 |
症例 12
治療前
治療後
| 主訴 | 右上に2番目の形が小さい。 下の前歯のがたつきが気になる。 |
|---|---|
| 先生からの提案 (治療内容について) |
患者さんが望んでいる理想形態を模型や写真などで共有して、モックアップという口腔内でシュミレーションし、仮歯に変えて、なるべく歯をけずらないラミネートべニアを装着した。 |
| 治療期間 | 2か月 |
| 治療費 | 520,000円 |
| 治療のリスク | 仮歯が外れる可能性がある。色を合わせるのは難しい。 |
症例 13
治療前
治療後
| 主訴 | 前歯の着色が気になる。 |
|---|---|
| 先生からの提案 (治療内容について) |
まず前歯の形態と着色が気になるとのことで既存の修復物を除去して、虫歯をとった。 その後仮歯で形を患者さんと共有して、最終被せものへ移行した。 |
| 治療期間 | 2か月 |
| 治療費 | 540,000円 |
| 治療のリスク | 今後他の歯も治療するのでかみ合わせが変化したら、微調整は必要になる。 |
症例 14
治療前
治療後
| 主訴 | 歯の色が気になる。 |
|---|---|
| 先生からの提案 (治療内容について) |
全顎的に虫歯治療とジルコニアセラミックス補綴で色を均一化しました。 歯根破折していた歯が一本あったのでインプラントを行いました。 |
| 治療期間 | 1年 |
| 治療費 | 4,310,000円 |
| 治療のリスク | くいしばりが強い患者さんなので歯根破折が心配。 |
症例 15
治療前
治療後
| 主訴 | 前歯をきれいにしたい。 |
|---|---|
| 先生からの提案 (治療内容について) |
随分前に装着したレジンの被せ物が劣化している。 またメタルによる歯肉のシャドー(金属の色を拾って、歯肉が黒ずんでみえること)になっている。 虫歯など歯の内部をきれいにしてジルコニアセラミックスの被せ物を装着しました。 |
| 治療期間 | 2か月 |
| 治療費 | 260,000円 |
| 治療のリスク | 新しい被せ物を装着するので装着後多少違和感がでる場合がある。 |
症例 16
治療前
治療後
| 主訴 | 前歯が腫れて違和感がある。 |
|---|---|
| 先生からの提案 (治療内容について) |
左上の前歯が歯の破折で抜歯。
また全顎的にプラークコントロールが悪く歯周治療と虫歯治療を行った。
前歯はメタルセラミックスのブリッジを最終補綴物とした。
他の歯と馴染むように最終的な色をあわせた。 |
| 治療期間 | 6か月 |
| 治療費 | 360,000円 |
| 治療のリスク | 噛み合わせが悪いので歯の破折が心配。 |
症例 17
治療前
治療後
| 主訴 | 右上2番目前歯被せ物脱離、色を合わせたい。 |
|---|---|
| 先生からの提案 (治療内容について) |
中の虫歯を除去して補強して被せ物を装着した。
色に関しては他の歯に馴染むようになるべく違和感なく製作した。
歯のプラスチックのやりかえもすすめましたがその部位は大丈夫とのことでこのままフィニッシュした。 |
| 治療期間 | 1か月 |
| 治療費 | 130,000円 |
| 治療のリスク | 残ってる歯質が薄いため歯根破折のリスクがある。 |
症例 18
治療前
治療後
| 主訴 | 歯肉の黒いのが気になる。 |
|---|---|
| 先生からの提案 (治療内容について) |
随分前に装着したセラミックスの歯肉が黒くなっている。
歯根の変色とメタルによる歯肉のシャドー(歯根や金属の色を拾って、歯肉が黒ずんでみえること)になっている。
虫歯など歯の内部をきれいにしてオールセラミックスの被せ物を装着した。 |
| 治療期間 | 1か月 |
| 治療費 | 130,000円 |
| 治療のリスク | 新しい被せ物を装着するので装着後多少違和感がでる場合がある。 |
症例 19
治療前
治療後
| 主訴 | 歯が黒いのが気になる。 |
|---|---|
| 先生からの提案 (治療内容について) |
随分前に装着したセラミックスの色が気になるとのこと。 色が天然歯とあっていないので、虫歯など歯の内部をきれいにしてジルコニアセラミックスの被せ物を装着しました。 |
| 治療期間 | 1か月 |
| 治療費 | 130,000円 |
| 治療のリスク | 新しい被せ物を装着するので装着後多少違和感がでる場合がある。 |
症例 20
治療前
治療後
| 主訴 | 歯ぐきが腫れて気になる。 |
|---|---|
| 先生からの提案 (治療内容について) |
歯肉が腫れたので他院に行ったら、2本抜歯と言われたとのこと。 病巣がとても大きく根管治療した後歯根端切除術を行い、メタルセラミックスを装着しました。 |
| 治療期間 | 3か月 |
| 治療費 | 210,000円 |
| 治療のリスク | 炎症が大きかったので歯根破折する可能性がある。 |
症例 21
治療前
治療後
| 主訴 | 歯の違和感。 |
|---|---|
| 先生からの提案 (治療内容について) |
歯の違和感があるとのことで根の炎症が少しあり、根管治療を行ったのち、ジルコニアセラミックスクラウンを装着しました。 もともとの被せものの色があってなかったので隣在歯にあわせたのと、金属の透けがあったのでうまく消して自然美をだしました。 |
| 治療期間 | 2か月 |
| 治療費 | 140,000円 |
| 治療のリスク | 歯ぎしりが強いので歯根破折する可能性がある。 |
症例 22
治療前
治療後
| 主訴 | 歯の違和感。 |
|---|---|
| 先生からの提案 (治療内容について) |
歯の違和感があるとのことで来院。 古いプラスチックや被せものが装着されていたのと、歯間離開があり、見た目もあまりよくなかったので、仮歯で患者さんと形などを話合い決定し、最終補綴物へ移行した。 |
| 治療期間 | 2か月 |
| 治療費 | 650,000円 |
| 治療のリスク | 歯ぎしりが強いので歯根破折する可能性がある。 |
症例 23
治療前
治療中
治療後
| 主訴 | 転んで歯が折れた。 |
|---|---|
| 先生からの提案 (治療内容について) |
転倒して歯牙破折。 歯牙破折してずぐの来院だったので神経の温存療法を行い、そのまま歯牙を接着した。 神経が死ぬこともなく経過良好。 |
| 治療期間 | 1回 |
| 治療費 | 50,000円 |
| 治療のリスク | 歯ぎしりが強いので歯根破折する可能性がある。 |
症例 24
治療前
治療後
| 主訴 | 前歯の腫れ。 |
|---|---|
| 先生からの提案 (治療内容について) |
前歯2本の抜歯を行い、6本を4本で支えているジルコニアセラミックスブリッジを装着した。 形態を患者さんと共有して製作した。 |
| 治療期間 | 3か月 |
| 治療費 | 840,000円 |
| 治療のリスク | 残存歯質量が少ないため歯根破折のリスクがある。 |