症例
前歯の審美治療
- 担当医
- 望月 力
- 主訴
- 前歯をきれいにしたい
- 期間
- 2ヵ月
- 費用
- 660,000円
- 治療内容
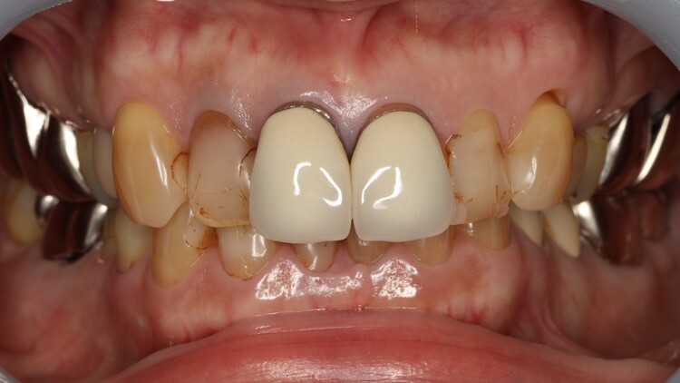
- 前歯に極端な白さのかぶせ物が入っており、左右2番目の歯もプラスチックの詰め物が劣化しているため審美的なバランスが悪く、見た目の回復をご希望されました。
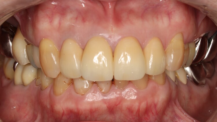
左右の犬歯の色を参考に、前歯4本に自然な歯の色のかぶせ物(ジルコニアセラミッククラウン)を装着する治療を行いました。
- 治療に伴うリスク
- あくまで人工物なので、強い噛みしめや無理な使用方法によって割れたり取れてしまったりする可能性があります。

