03-6411-5536
24時間WEB予約
MENU
Home
ホーム
Treatment
診療案内
About
当院について
Price
料金表
First
初めての方へ
Clinic
クリニック紹介
Staff
スタッフ紹介
Access
アクセス
News
お知らせ
Column
コラム
診療時間
月
火
水
木
金
土
日
9:30-13:30
○
○
-
○
○
○
-
15:00-18:00
○
○
-
○
○
○
-
休診日:水曜/日曜/祝日
当院は歯科医師、歯科衛生士が複数名在籍しております。ご希望がある方はお電話にてその旨をお伝えください。
03-6411-5536
24時間WEB予約
症例
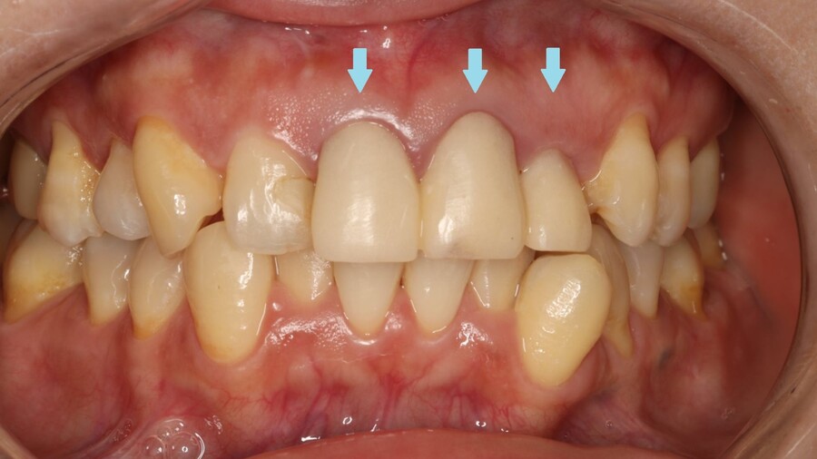
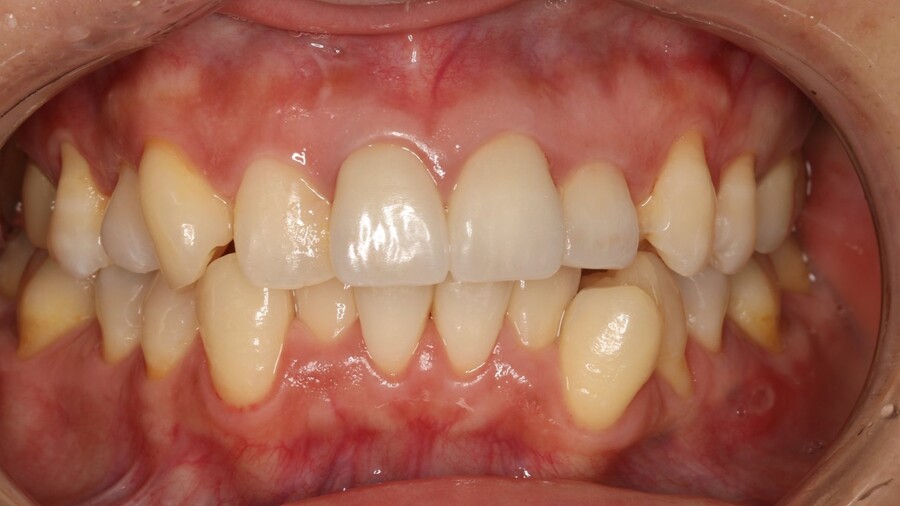
審美治療の治療例
2026-01-12
前歯の審美治療
担当医
貴志 文哉
主訴
前歯をきれいにしたい
期間
2ヵ月
費用
495,000円
治療内容
矢印に示す3本の前歯について、かぶせ物の形態の不自然さが気になるため、治療をご希望されました。
仮歯にて歯の形態をよく相談した上で、最終的なかぶせ物(ジルコニアセラミッククラウン)を製作しました。
治療に伴うリスク
あくまで人工物なので、強い噛みしめや無理な使用方法によって割れたり取れてしまったりする可能性があります。
詳細はこちらから